Odbudowa braków w uzębieniu dzięki implantom zębowym – czyli droga do pięknego i naturalnego uśmiechu
Zdrowe zęby i uzupełnienie braków w uzębieniu to warunek pięknego uśmiechu i wyglądu całej twarzy.
Implanty zębowe – sposób na piękny uśmiech i braki w uzębieniu
Implanty stomatologiczne to tytanowa śrubka, którą wprowadza się w kość i która zastępuje korzeń zęba.
Implanty zębowe to jedna z najskuteczniejszych metod uzupełniania utraconych zebów, braków w uzębieniu. Jest to metoda małoinwazyjna i bezpieczna dla pacjenta.
Implanty zębów – na czym polega zabieg odbudowy zębów?
Rehabilitacja zgryzu i uśmiechu polega na wprowadzeniu wszczepów stomatologicznych (implanty zębów) w odpowiednie miejsca w jamie ustnej oraz osadzeniu na nich zębów tymczasowych na tej samej wizycie.
Implanty stomatologiczne są najlepszą znaną obecnie metodą odbudowy utraconych zębów. Zabieg jest prosty i przewidywalny, jednak powinien być wykonywany przez doświadczonego specjalistę. Implanty zębowe nie wymagają wymiany.
Zabieg przeprowadzany jest w znieczuleniu ogólnym (nadzór anestezjologiczny w gabinecie) lub w znieczuleniu miejscowym w zależności od potrzeb zabiegowych i oczekiwań pacjenta.
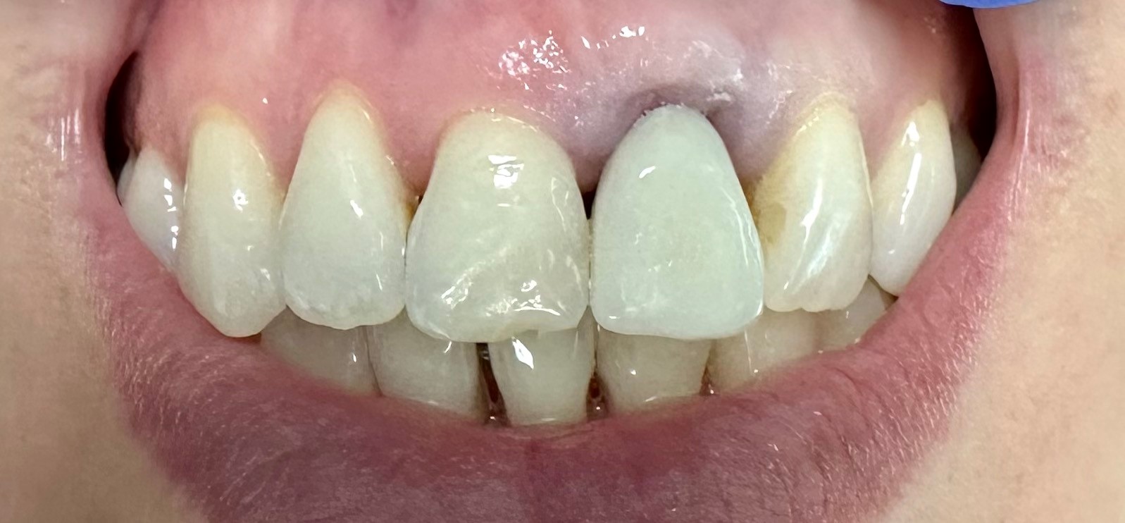
Widok w jamie ustnej przed usunięciem zęba (jedynka górna lewa) i wprowadzeniem implantu

Widok w jamie ustnej po usunięciu zęba (jedynka górna lewa) i wprowadzeniu implantu

Chirurgia: dr n.med. Ewa Zawiślak
Protetyka: dr n.med. Ewa Zawiślak
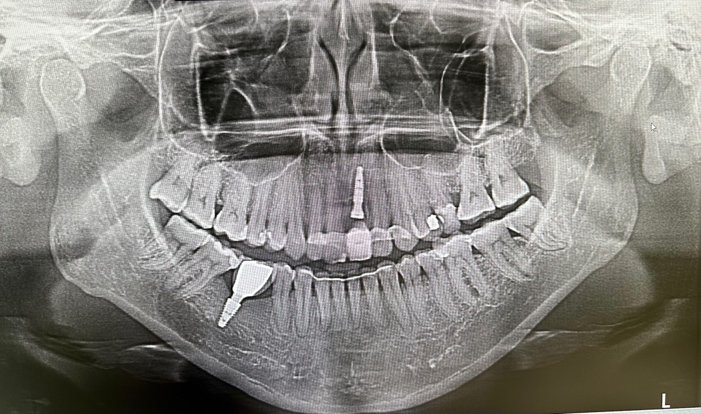
Zdjęcie RTG po usunięciu zęba i jednoczasowym założeniu implantu

Chirurgia: dr n.med. Ewa Zawiślak
Protetyka: dr n.med. Ewa Zawiślak
Dr n. med. Ewy Zawiślak – Leczenie braków w uzębieniu dzięki implantom zębowym
Bezpieczeństwo wykonania zabiegu wszczepienia implantów zębowych wymaga wiedzy i doświadczenia specjalisty, który je wykonuje. Dzięki wiedzy i 15 letniemu doświadczeniu Dr n. med. Ewy Zawiślak - specjalistki chirurgii szczękowo-twarzowej, implantolog, traumatolog, stomatolog oraz wykorzystywaniu najnowocześniejszych implantów stomatologicznych pacjent ma pewność skutecznego leczenia braków w uzębieniu za pomocą implantów zębów.
Dr n. med. Ewy Zawiślak – kontakt, umów wizytę
Jeśli masz problemy związane z utrata zęba lub brakami zębów, czujesz dyskomfort i nie możesz normalnie funkcjonować umów się na wizytę i daj sobie szanse na piękne, zdrowe zęby i naturalny uśmiech.