Przejdź do głównej treści

Podniesienie dna zatoki szczękowej tzw. sinus lift

Co to za zabieg?

To jeden z dodatkowych zabiegów implantologicznych wykonywany często z implantacją okolicy górnych tylnych zębów (najczęściej szóstek). Poprzedzony jest oceną funkcji zatok szczękowych na podstawie badania tomografii komputerowej (cbct szczęki).

Na czym polega zabieg?

Zabieg polega na rekonstrukcji kostnej nad implantem, celem poprawy jego stabilności. Zabieg trwa 30-40 min i jest bezbolesny.  Po zabiegu pacjent przyjmuje leki i prowadzi oszczędzający tryb życia. Otrzymuje szczegółowe zalecenia od chirurga jak postępować po zabiegu.

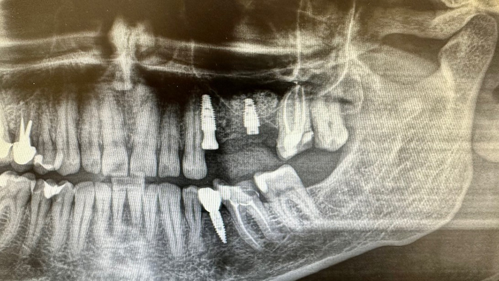
Zdjęcie rtg po zabiegu implantacji z zabiegiem „sinus lift” lewej zatoki szczękowej

zdjecie rtg po zabiegu implantacji

Chirurgia: dr n.med. Ewa Zawiślak
Protetyka: lek. stom. Katarzyna Wojtuściszyn-Ordyniec