Przejdź do głównej treści

Odbudowy kostne w jamie ustnej

W jakich przypadkach wykonuje się zabieg?

Zanik tkanki kostnej często towarzyszy utracie zębów z różnych przyczyn. Niedostateczne warunki kostne mogą uniemożliwiać leczenie implantologiczne.

Na czym polega zabieg?

Obecnie złotym standardem jest zastosowanie kości własnej do regeneracji kostnej (kość autogenna). Zabieg z zastosowaniem kości własnej techniką prof. Khourego, jest metodą pewną i skuteczną. W rękach doktor Ewy Zawiślak to 99.9% powodzeń w rekonstrukcjach kostnych różnego typu. Zabieg polega na pobraniu kości z okolicy zatrzonowcowej i założeniu kości w okolice ubytku kostnego. Kość własna nie indukuje reakcji obronnej organizmu, co stanowi o jej wyższości nad innymi. Alternatywnie można zastosowań kość z Banku Tkanek wysterylizowaną radiacyjnie.

Decyzja należy do Pacjenta.

Zdjęcie śródzabiegowe rekonstrukcji kostnej met. Khourego

odbudowy kostne

Chirurgia: dr n.med. Ewa Zawiślak

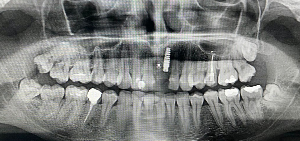
Zdjęcie rtg po zabiegu rekonstrukcji kostnej okolicy górnej lewej jedynki i implantacji

zdjecie rtg po zabiegu rekonstrukcji kostnej

Chirurgia: dr n.med. Ewa Zawiślak

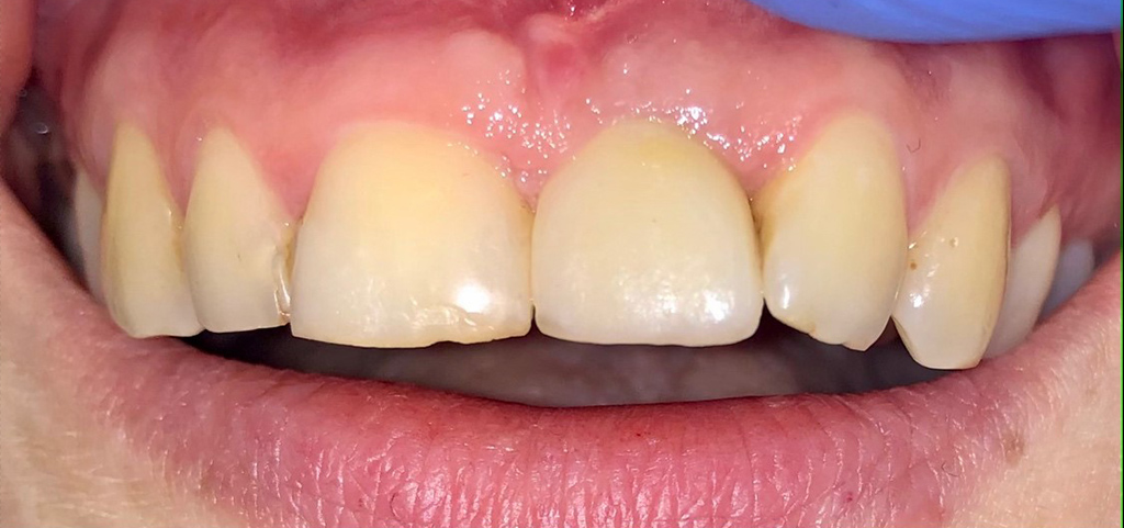
Wygląd w jamie ustnej po zabiegu rekonstrukcji kostnej okolicy górnej lewej jedynki i osadzeniu korony na implancie

wyglad jamy ustnej po zabiegu rekonstrukcji

Chirurgia: dr n.med. Ewa Zawiślak
Protetyka: lek. stom. Katarzyna Wojtuściszyn-Ordyniec